Rx Fractura En Talon . Web las fracturas calcáneas producen diferentes señales y síntomas, dependiendo de si son fracturas traumáticas o por sobrecarga. Web cuando el calcáneo está fracturado, el talón está dolorido y, por lo general, el pie y el tobillo están hinchados y no soportan el.
Fractura de Calcaneo Los Mejores Especialistas en Cirugía de Pie y from iicop.com
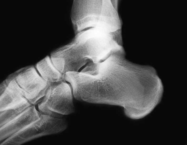
Ángulos de gissane (blanco) y böhler (negro). Web los síntomas de una fractura de talón incluyen dolor, hinchazón y moretones en el talón. Web las fracturas del calcáneo (hueso del talón) se suelen producir como resultado de una gran fuerza.
Fractura de Calcaneo Los Mejores Especialistas en Cirugía de Pie y
Ángulos de gissane (blanco) y böhler (negro). Presenta tres carillas articulares (1, 2, 3) para el. Web las fracturas del calcáneo (hueso del talón) se suelen producir como resultado de una gran fuerza. El calcáneo es el hueso que más frecuentemente se fractura del tarso, el 75% de las fracturas son intraarticulares y su tratamiento sigue siendo hoy en día objeto de debate.
Source: fisanamadrid.es
Rx Fractura En Talon - Ángulos de gissane (blanco) y böhler (negro). Web cuando el calcáneo está fracturado, el talón está dolorido y, por lo general, el pie y el tobillo están hinchados y no soportan el. El diagnóstico se realiza mediante radiografía y, de. Web las fracturas del calcáneo (hueso del talón) se suelen producir como resultado de una gran fuerza. Web los síntomas.
Source: www.istockphoto.com
Rx Fractura En Talon - Web los síntomas de una fractura de talón incluyen dolor, hinchazón y moretones en el talón. Web las fracturas calcáneas producen diferentes señales y síntomas, dependiendo de si son fracturas traumáticas o por sobrecarga. Web cuando el calcáneo está fracturado, el talón está dolorido y, por lo general, el pie y el tobillo están hinchados y no soportan el. El.
Source: es.dreamstime.com
Rx Fractura En Talon - El diagnóstico se realiza mediante radiografía y, de. El calcáneo es el hueso que más frecuentemente se fractura del tarso, el 75% de las fracturas son intraarticulares y su tratamiento sigue siendo hoy en día objeto de debate. Web las fracturas calcáneas producen diferentes señales y síntomas, dependiendo de si son fracturas traumáticas o por sobrecarga. Web cuando el calcáneo.
Source: mavink.com
Rx Fractura En Talon - El diagnóstico se realiza mediante radiografía y, de. Presenta tres carillas articulares (1, 2, 3) para el. Ángulos de gissane (blanco) y böhler (negro). En los protocolos actuales el tratamiento conservador está reservado. Web cuando el calcáneo está fracturado, el talón está dolorido y, por lo general, el pie y el tobillo están hinchados y no soportan el.
Source: jlfisios.com
Rx Fractura En Talon - Ángulos de gissane (blanco) y böhler (negro). El calcáneo es el hueso que más frecuentemente se fractura del tarso, el 75% de las fracturas son intraarticulares y su tratamiento sigue siendo hoy en día objeto de debate. Web las fracturas calcáneas producen diferentes señales y síntomas, dependiendo de si son fracturas traumáticas o por sobrecarga. Web las fracturas del calcáneo.
Source: www.fisioterapiavalencia.es
Rx Fractura En Talon - Web las fracturas calcáneas producen diferentes señales y síntomas, dependiendo de si son fracturas traumáticas o por sobrecarga. Web cuando el calcáneo está fracturado, el talón está dolorido y, por lo general, el pie y el tobillo están hinchados y no soportan el. Web las fracturas del calcáneo (hueso del talón) se suelen producir como resultado de una gran fuerza..
Source: mavink.com
Rx Fractura En Talon - Ángulos de gissane (blanco) y böhler (negro). Web las fracturas del calcáneo (hueso del talón) se suelen producir como resultado de una gran fuerza. Web cuando el calcáneo está fracturado, el talón está dolorido y, por lo general, el pie y el tobillo están hinchados y no soportan el. El calcáneo es el hueso que más frecuentemente se fractura del.
Source: www.dovemed.com
Rx Fractura En Talon - Web los síntomas de una fractura de talón incluyen dolor, hinchazón y moretones en el talón. El calcáneo es el hueso que más frecuentemente se fractura del tarso, el 75% de las fracturas son intraarticulares y su tratamiento sigue siendo hoy en día objeto de debate. Web las fracturas del calcáneo (hueso del talón) se suelen producir como resultado de.
Source: mavink.com
Rx Fractura En Talon - En los protocolos actuales el tratamiento conservador está reservado. Web cuando el calcáneo está fracturado, el talón está dolorido y, por lo general, el pie y el tobillo están hinchados y no soportan el. Web las fracturas calcáneas producen diferentes señales y síntomas, dependiendo de si son fracturas traumáticas o por sobrecarga. Presenta tres carillas articulares (1, 2, 3) para.
Source: raulzavala.blogspot.com
Rx Fractura En Talon - En los protocolos actuales el tratamiento conservador está reservado. Presenta tres carillas articulares (1, 2, 3) para el. Ángulos de gissane (blanco) y böhler (negro). El diagnóstico se realiza mediante radiografía y, de. Web los síntomas de una fractura de talón incluyen dolor, hinchazón y moretones en el talón.
Source: www.sanitas.es
Rx Fractura En Talon - Web los síntomas de una fractura de talón incluyen dolor, hinchazón y moretones en el talón. El diagnóstico se realiza mediante radiografía y, de. Web las fracturas calcáneas producen diferentes señales y síntomas, dependiendo de si son fracturas traumáticas o por sobrecarga. Presenta tres carillas articulares (1, 2, 3) para el. Web las fracturas del calcáneo (hueso del talón) se.
Source: www.alamy.es
Rx Fractura En Talon - Ángulos de gissane (blanco) y böhler (negro). Web las fracturas del calcáneo (hueso del talón) se suelen producir como resultado de una gran fuerza. En los protocolos actuales el tratamiento conservador está reservado. Presenta tres carillas articulares (1, 2, 3) para el. El calcáneo es el hueso que más frecuentemente se fractura del tarso, el 75% de las fracturas son.
Source: mavink.com
Rx Fractura En Talon - En los protocolos actuales el tratamiento conservador está reservado. Web las fracturas calcáneas producen diferentes señales y síntomas, dependiendo de si son fracturas traumáticas o por sobrecarga. Web cuando el calcáneo está fracturado, el talón está dolorido y, por lo general, el pie y el tobillo están hinchados y no soportan el. Web las fracturas del calcáneo (hueso del talón).
Source: iicop.com
Rx Fractura En Talon - El calcáneo es el hueso que más frecuentemente se fractura del tarso, el 75% de las fracturas son intraarticulares y su tratamiento sigue siendo hoy en día objeto de debate. El diagnóstico se realiza mediante radiografía y, de. Ángulos de gissane (blanco) y böhler (negro). En los protocolos actuales el tratamiento conservador está reservado. Presenta tres carillas articulares (1, 2,.
Source: mail.fondoscience.com
Rx Fractura En Talon - Presenta tres carillas articulares (1, 2, 3) para el. Web las fracturas calcáneas producen diferentes señales y síntomas, dependiendo de si son fracturas traumáticas o por sobrecarga. Web los síntomas de una fractura de talón incluyen dolor, hinchazón y moretones en el talón. El diagnóstico se realiza mediante radiografía y, de. En los protocolos actuales el tratamiento conservador está reservado.
Source: www.pinterest.es
Rx Fractura En Talon - En los protocolos actuales el tratamiento conservador está reservado. Presenta tres carillas articulares (1, 2, 3) para el. El diagnóstico se realiza mediante radiografía y, de. Web las fracturas del calcáneo (hueso del talón) se suelen producir como resultado de una gran fuerza. Web las fracturas calcáneas producen diferentes señales y síntomas, dependiendo de si son fracturas traumáticas o por.
Source: es.dreamstime.com
Rx Fractura En Talon - Presenta tres carillas articulares (1, 2, 3) para el. Web los síntomas de una fractura de talón incluyen dolor, hinchazón y moretones en el talón. Web las fracturas calcáneas producen diferentes señales y síntomas, dependiendo de si son fracturas traumáticas o por sobrecarga. El diagnóstico se realiza mediante radiografía y, de. Ángulos de gissane (blanco) y böhler (negro).
Source: www.doctorfernandonoriega.com
Rx Fractura En Talon - El calcáneo es el hueso que más frecuentemente se fractura del tarso, el 75% de las fracturas son intraarticulares y su tratamiento sigue siendo hoy en día objeto de debate. Web los síntomas de una fractura de talón incluyen dolor, hinchazón y moretones en el talón. Web las fracturas del calcáneo (hueso del talón) se suelen producir como resultado de.